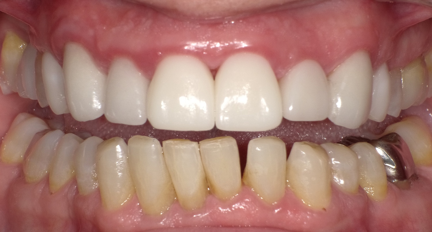
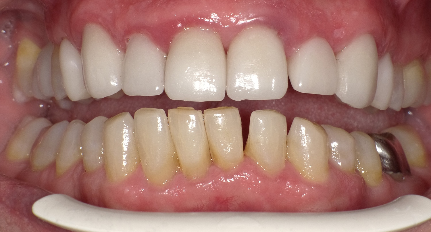
Anterior Crown

Case ID: 3393

Individual results may vary.

Other Anterior Crown Patients

we are here for you

Contact Us

*All indicated fields must be completed.
Please include non-medical questions and correspondence only.

VISIT US TODAY

Our Office Location

Current Patients: (360) 943-4300
Office Hours

Monday: Closed
Tuesday: 8:00AM - 5:00PM
Wednesday: 8:00AM - 5:00PM
Thursday: 8:00AM - 5:00PM
Friday: 8:00AM - 3:00PM

Accessibility Toolbar

Scroll to Top